Елизавета Алексеевна Россиневич
Врач-стоматолог детский
Протоколы лечения основаны на клинических рекомендациях, которые являются стандартными инструкциями, разработанными научными исследованиями и практикой специалистов.
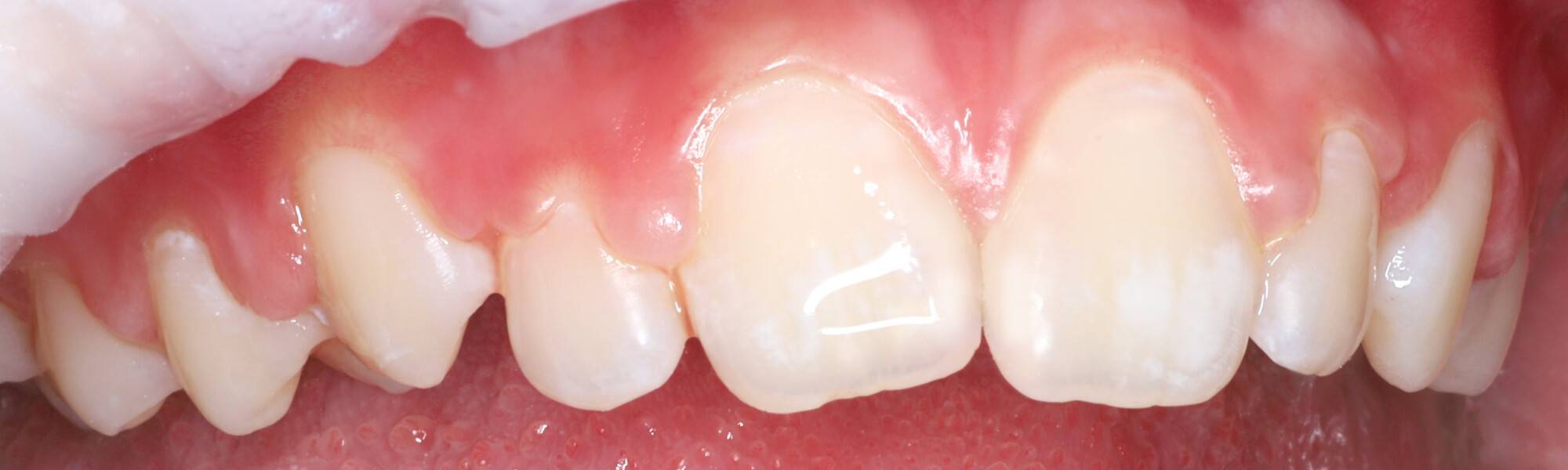
Все работыДо
После



До
После


До
После


До
После


До
После


Прозрачное ценообразование с выгодным расчётом на длительный период
Все специалисты в одном месте, что позволяет быстро и эффективно решать сложные случаи, требующие совместного участия специалистов разных направлений.
Все врачиЕлена Михайловна Грицай
Заведующий отделением детской стоматологии
Врач-стоматолог-эндодонтист
Врач-стоматолог детский
Елена Александровна Парфенцева (Климова)
Врач-стоматолог-хирург детский
Эндодонтист
Врач-стоматолог детский
Надежда Васильевна Барановская
Заместитель главного врача по детской стоматологии
Врач-стоматолог детский
Елена Михайловна Грицай
Заведующий отделением детской стоматологии
Врач-стоматолог-эндодонтист
Врач-стоматолог детский
Елена Александровна Парфенцева (Климова)
Врач-стоматолог-хирург детский
Эндодонтист
Врач-стоматолог детский
Истории пациентов