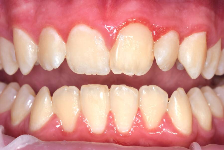
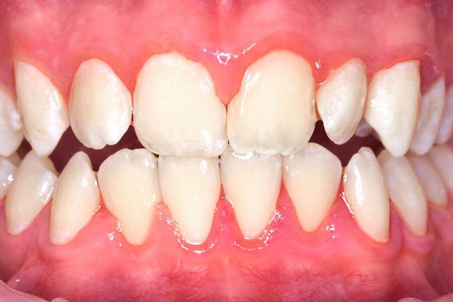
Девочка, 11 лет, налет на зубах, жалоб у пациента и мамы не было.
Профессиональная гигиена полости рта
1 час
1. Было проведено окрашивание индикатором зубного налета Curoprox 2. Произведено снятие зубного налета воздушно-абразивным методом Air-Flow (порошок Глицин). 3. Проведена аппликация зубных рядов гелем с высоким содержанием фторидов.
Похожие работы
Протоколы лечения основаны на клинических рекомендациях, которые являются стандартными инструкциями, разработанными научными исследованиями и практикой специалистов.











