До
После
Лечение осложненного кариеса в медикаментозном сне
До
После
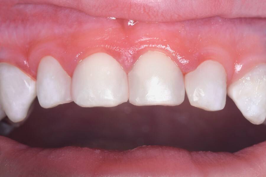
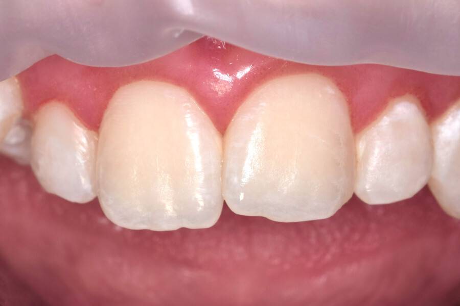
Травма зуба
До
После
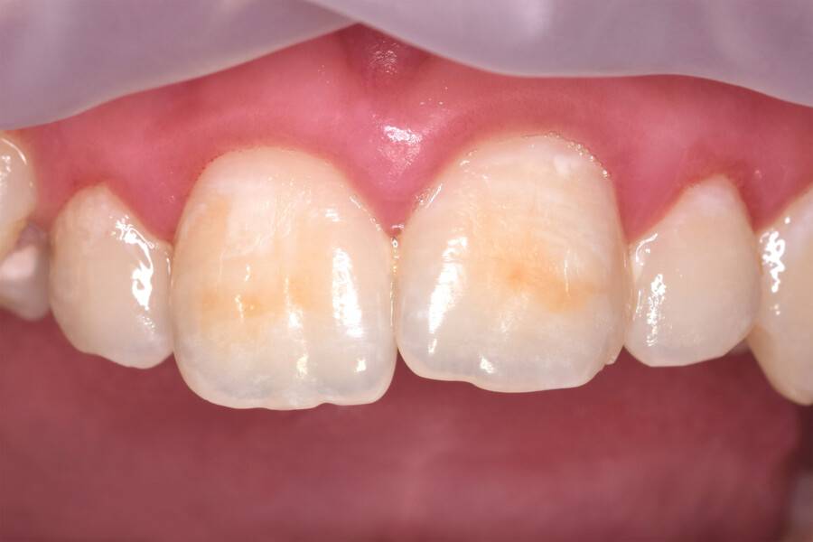
Лечение пульпита в медикаментозном сне
До
После
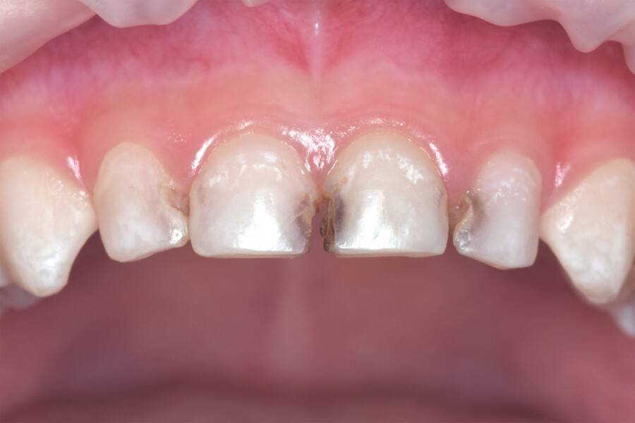
Лечение кариеса в медикаментозном сне
До
После
Лечение кариеса методом ICON
До
После
Лечение пульпита в седации
До
После
Лечение кариеса в медикаментозном сне
До
После
Лечение кариеса в медикаментозном сне
До
После
Лечение кариеса
До
После
Лечение кариеса в медикаментозном сне
До
После
Исправление прикуса
До
После
Исправление прикуса
До
После
Исправление прикуса
До
После
Лечение пульпита
До
После
Лечение пульпита
До
После
Лечение кариеса
До
После
Лечение пульпита
До
После
Лечение кариеса
До
После
Лечение кариеса
До
После
Лечение кариеса
До
После
Лечение кариеса
До
После
Лечение кариеса в медикаментозном сне
До
После
Лечение кариеса
До
После
Лечение кариеса
До
После
Профессиональная гигиена полости рта
До
После
Лечение кариеса
До
После
Лечение пульпита
До
После
Герметизация фиссур
До
После
Лечение кариеса
До
После
Лечение кариеса
До
После
Лечение кариеса
До
После
Лечение кариеса
До
После
Травма зуба
До
После
Лечение кариеса
До
После
Лечение кариеса Icon
До
После
Лечение кариеса
До
После
Лечение кариеса
До
После
Лечение кариеса
До
После
Лечение кариеса
До
После
Лечение кариеса
До
После
Профессиональная гигиена полости рта
До
После
Лечение кариеса методом ICON
До
После
Лечение кариеса
До
После
Профессиональная гигиена полости рта
До
После
Профессиональная гигиена полости рта
До
После
Травма зуба
До
После
Лечение кариеса
До
После
Лечение в медикаментозном сне
До
После
Профессиональная гигиена полости рта
До
После
Лечение кариеса
До
После
Лечение кариеса
До
После
Лечение кариеса
До
После
Профессиональная гигиена полости рта
До
После
Травма зуба
До
После
Лечение кариеса
До
После
Лечение пульпита
До
После
Лечение кариеса
До
После
Лечение кариеса
До
После
Лечение кариеса в седации
До
После
Лечение кариеса и пульпита
До
После
Лечение кариеса методом ICON
До
После
Профессиональная гигиена полости рта
До
После
Коррекция уздечки губы
До
После
Коррекция уздечки языка
До
После
Лечение кариеса
До
После
Коронки на молочные зубы
До
После
Лечение кариеса
До
После
Лечение кариеса
До
После
Лечение кариеса
До
После
Лечение кариеса в медикаментозном сне
До
После
Лечение кариеса дентина
До
После
Лечение кариеса дентина
До
После
Лечение кариеса
До
После
Лечение кариеса
До
После
Лечение кариеса
До
После
Лечение кариеса
До
После
Лечение кариеса
До
После
Лечение кариеса
До
После
Профессиональная гигиена полости рта
До
После
Профессиональная гигиена полости рта
До
После
Профессиональная гигиена полости рта
До
После
Лечение кариеса
До
После
Лечение кариеса в медикаментозном сне
До
После
Герметизация фиссур
До
После
Лечение кариеса
До
После
Лечение кариеса
До
После
Лечение кариеса
До
После
Лечение кариеса
До
После
Лечение кариеса
До
После
Лечение кариеса
До
После
Лечение кариеса в медикаментозном сне
До
После
Профессиональная гигиена полости рта
До
После
Лечение кариеса в медикаментозном сне
До
После
Лечение кариеса
До
После
Лечение кариеса
До
После
Профессиональная гигиена полости рта
До
После
Лечение кариеса
До
После
Лечение кариеса
До
После
Лечение кариеса
До
После
Лечение кариеса
До
После
Лечение кариеса
До
После
Лечение кариеса
До
После
Профессиональная гигиена полости рта
До
После
Лечение кариеса
До
После
Травма зуба
До
После
Лечение кариеса
До
После
Лечение кариеса
До
После
Лечение кариеса
До
После
Лечение в медикаментозном сне
До
После
Исправление прикуса
До
После
Исправление прикуса
До
После
Исправление прикуса с помощью пластинок
До
После
Исправление прикуса с помощью элайнеров
До
После
Исправление прикуса с помощью элайнеров
До
После
Лечение кариеса
До
После
Лечение кариеса
До
После
Лечение кариеса
До
После
Лечение кариеса
До
После
Лечение кариеса
До
После
Травма зуба