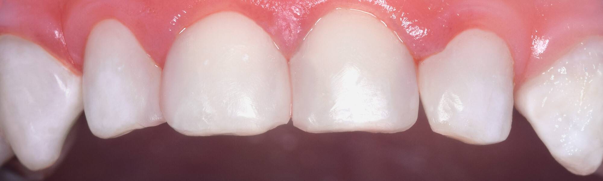
Спасибо большое нашему замечательному доктору (зубной фее для нашего малыша) Ксение Валерьевне! Восстановили зубик после травмы, работа выполнена отлично! Эстетика и психологическое настроение, сохранность зубного ряда!
Я собиралась стать челюстно-лицевым хирургом, но судьба привела меня в детскую стоматологию. Моё кредо — шведская философия «Lagom»: баланс, умеренность и здравый смысл. Моя цель — вырастить поколение детей, которые умеют и любят заботиться о своих зубах
Стаж работы 12 лет
В «Веронике» с 2016 года
Услуги специалиста
Специалист предоставляет широкий спектр услуг, вы можете выбрать подходящую услугу и записаться к нему на прием.
Работы специалиста
Индивидуальный подход и внимание к каждому пациенту, понимание его потребностей и особенностей.
Все работыОтзывы
Истории пациентов




