Добрая, отзывчивая, при необходимости в меру строгая. Подход найдет к любому человечку!
Успехов вам в работе, вы надежный доктор и чуткий человек!!!
Лечу зубки бережно и деликатно, особое внимание уделяю психологическому комфорту ребенка на приеме
Стаж работы 10 лет
В «Веронике» с 2017 года
21.06.2015Основное образование
Санкт-Петербургский государственный университет, факультет стоматологии и медицинских технологий
Санкт-Петербургский государственный университет, факультет стоматологии и медицинских тех…31.12.2015Основное образование
Первый Санкт-Петербургский государственный медицинский университет им. академика И.П. Павлова, интернатура по специальности «Стоматология общей практики»
Первый Санкт-Петербургский государственный медицинский университет им. академика И.П. Пав…13.12.2017Основное образование
Северо-Западный государственный медицинский университет им. И.И. Мечникова (МАПО), профессиональная переподготовка «Стоматология детская»
Северо-Западный государственный медицинский университет им. И.И. Мечникова (МАПО), профес…28.12.2020Основное образование
Аккредитация специалиста
Аккредитация специалистаУслуги специалиста
Специалист предоставляет широкий спектр услуг, вы можете выбрать подходящую услугу и записаться к нему на прием.
Работы специалиста
Индивидуальный подход и внимание к каждому пациенту, понимание его потребностей и особенностей.
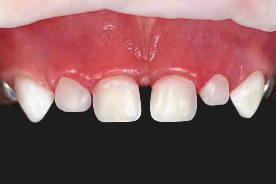
Все работыЛечение кариеса у детей
До

Лечение кариеса у детей
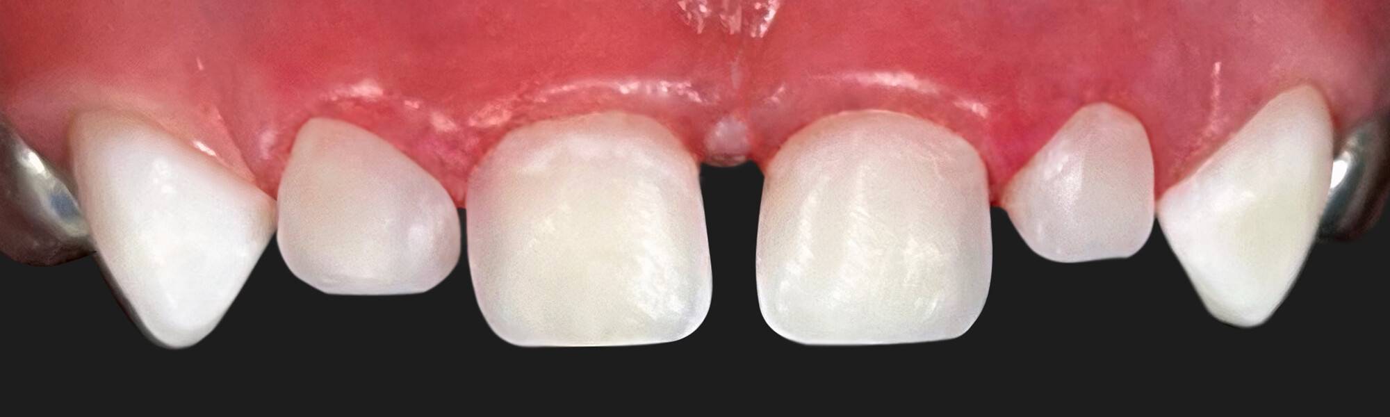
После

Лечение кариеса у детей
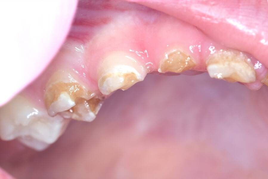
До

Лечение кариеса у детей
После

Лечение кариеса у детей
До

Лечение кариеса у детей
После

Лечение пульпита молочных зубов
До

Лечение пульпита молочных зубов
После

Отзывы
Истории пациентов
Хочу выразить огромную благодарность Лебедевой Марие Олеговне! Прекрасный специалист. Теперь только к ней. Всем её рекомендую. Немного моего опыта: в 2,5 и в 3,5 вылечила все зубки у первой дочки, спустя три года никаких проблем. Дочка с ней легко идёт на контакт, ни разу не плакала, все слушает и выполняет.
К сожалению, у второй дочки (как бы я ни старалась следить за гигиеной) тоже проблемы с зубками. Так как живем далеко от Савушкина - обращались два раза к другим специалистам - она никак не шла на контакт, громко кричала и упиралась. Решила, что расстояние не преграда и поехали к любимой Марие Олеговне. Она нашла к дочке подход, посмотрели все зубки. Что для меня главное - не ругала меня и не осуждала.
В общем и целом, очень понравилось как она ладит с детьми, зубки будут в полном порядке.
Спасибо большое ☺️
Сидорова Оксана Васильевна
Хочу выразить особую благодарность Лебедевой Марии Олеговне и Козыренко Антону Сергеевичу за их работу и труд, за чуткое внимание и понимание. Лечили сыну (5 лет) зубы во сне - под общей анестезией. Все прошло хорошо, не смотря на все мои переживания. Кстати, на мой взгляд, это отличный вариант, когда ребёнок панически боится лечить зубы, да ещё когда объёмная работа, как у нас. Ребёнок сказал: "Вероника" прикольная, и тётя врач тоже очень понравилась. А ребёнку есть с чем сравнивать. До момента похода к Марии Олеговне он никому не давался. Низкий вам поклон, врачи от бога! Большое спасибо!!!
Юлия
Хочу выразить огромную благодарность Лебедевой Марии Олеговне за ее чуткое отношение к моим деткам (Варе и Матвею (возраст 2,11 года)). Малыши были у стоматолога первый раз, и им очень понравилось в клинике (было много интересных игрушек, были солнечные очки, были мультики и в конце были воздушные шарики). Ребята сказали, что обязательно еще придут )).
Андреев Игорь
Добрый день. Администратор контакт-центра Татьяна, с которой я общалась в 08:30 утра 26 октября, проявила терпение и выдержку, несмотря на мои эмоции во время звонка, за что спасибо ей большое!
А доктор Мария Олеговна Лебедева помогла моей дочке так быстро и легко избавиться от сильно-мешающего шатающегося молочного зуба, что ни дочка ни я ничего и не заметили!
Спасибо большое еще раз и доктору и администратору!
Система психологической работы с детьми в Клинике просто супер!
С уважением, Екатерина.
Екатерина
Хочу поблагодарить Лебедеву Марию Олеговну за отличную работу! Дочка 2 года и 6 мес второй раз на лечение пришла уже с улыбкой и сама открыла ротик показать зубки. Сейчас она улыбается чаще. Ещё благодарна анастезиологам за профессиональную работу, поддержку, дочка совсем не плакала. Буду рекомендовать!
Сидорова Оксана Васильевна
Здравствуйте. Лечили зубки дочке в мед.сне. Всё прошло очень хорошо. У меня как буд-то "камень с плеч упал". Лечли у Лебедовой Марии Олеговны-как же я долго искала грамотного талантливого детского стоматолога.
Юферева Евгения
Здравствуйте.лечили дочке зубки в мед.сне-могу сказать одно-бояться наркоза не стоит. Главное настрой и грамотный, талантливый анастезиолог и стоматолог, в нашем случае нам посчастливилось полечиться у Лебедовой Марии.спасибо вам огромное
Юферева Евгения
Хотим с доченькой выразить благодарность нашей зубной феи Лебедевой Марии Олеговне за чудесную улыбку ! Лечили 3 пульпита, 3 кариеса и одно удаление ! Теперь доча улыбается всем без стеснения, так как наши «коричневые кочеврыжки» превратились в белоснежные зубки!!!!Восстанавливали наши зубки под медикаментозным сном , решались на эту процедуру очень долго, около полугода , спасибо большое Врачу анестезиологу- реаниматологу Козыренко Антону Сергеевичу за то что все прошло гладко, ребёнок быстро отошёл от наркоза, через час уже играла дома не помня ничего ))))
Кристина Сергеевна

