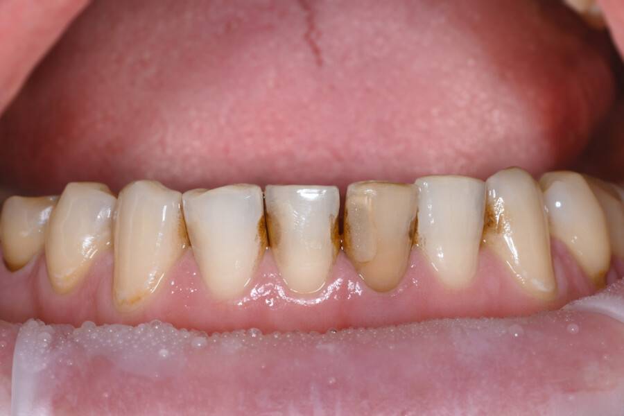
Пациентку беспокоили сколы, стираемость зубов, старые композитные реставрации. Не удовлетворял цвет зубов
Комплексное протезирование зубов
2 недели
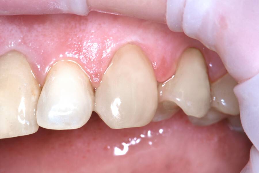
Произведена тотальная реабилитация керамическими реставрациями
После проведенного ортодонтического лечения произведен анализ окклюзионной схемы, комплексное протезирование с восстановлением положения нижней челюсти, межальвеолярной высоты и анатомии зубов
Похожие работы
Протоколы лечения основаны на клинических рекомендациях, которые являются стандартными инструкциями, разработанными научными исследованиями и практикой специалистов.

































































