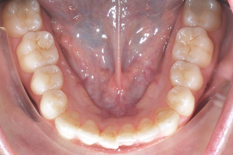
Пациентка 29 лет, неровное положение верхних и нижних передних зубов
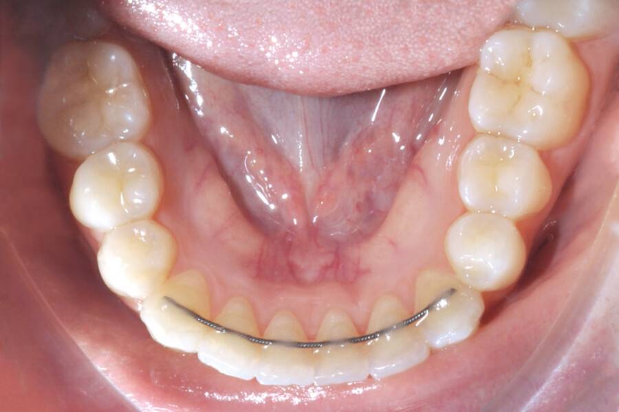
Исправление прикуса с помощью элайнеров
5 месяцев
Проведено ортодонтическое лечение на элайнерах
Похожие работы
Протоколы лечения основаны на клинических рекомендациях, которые являются стандартными инструкциями, разработанными научными исследованиями и практикой специалистов.











