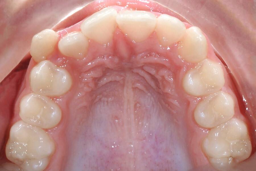
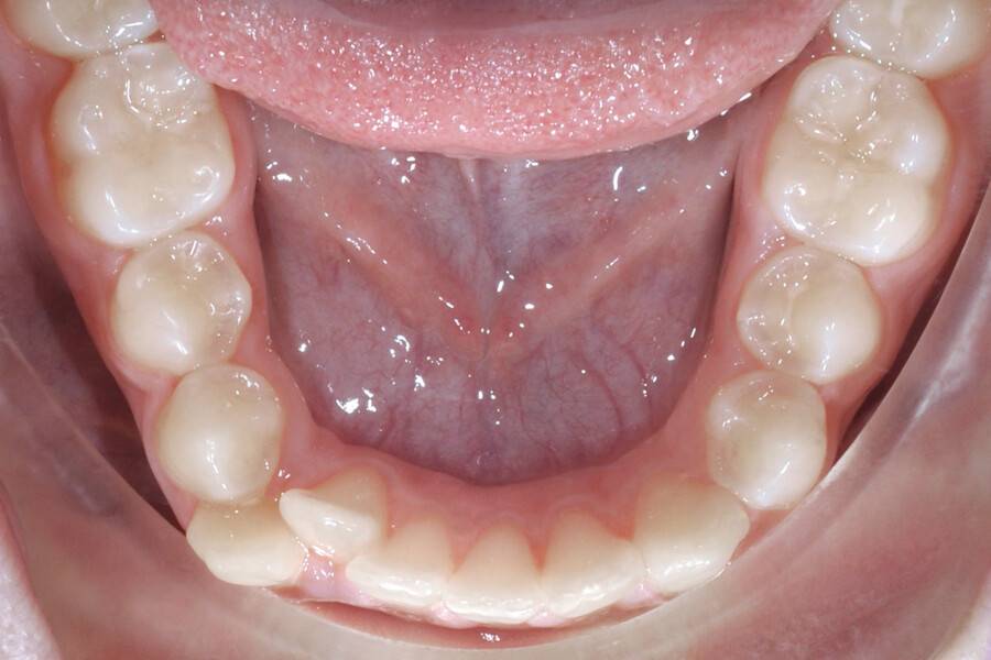
Пациентка 13 лет. Неровное положение зубов, торчит клык.
Исправление прикуса
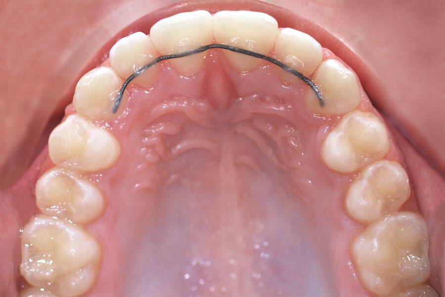
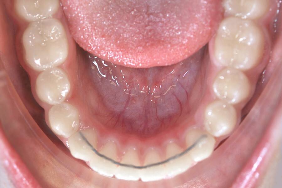
1 год 6 месяцев
Проведено ортодонтическое лечение на полной брекет-системе
Похожие работы
Протоколы лечения основаны на клинических рекомендациях, которые являются стандартными инструкциями, разработанными научными исследованиями и практикой специалистов.













