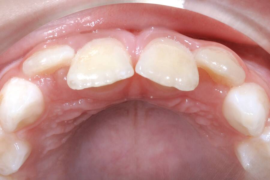
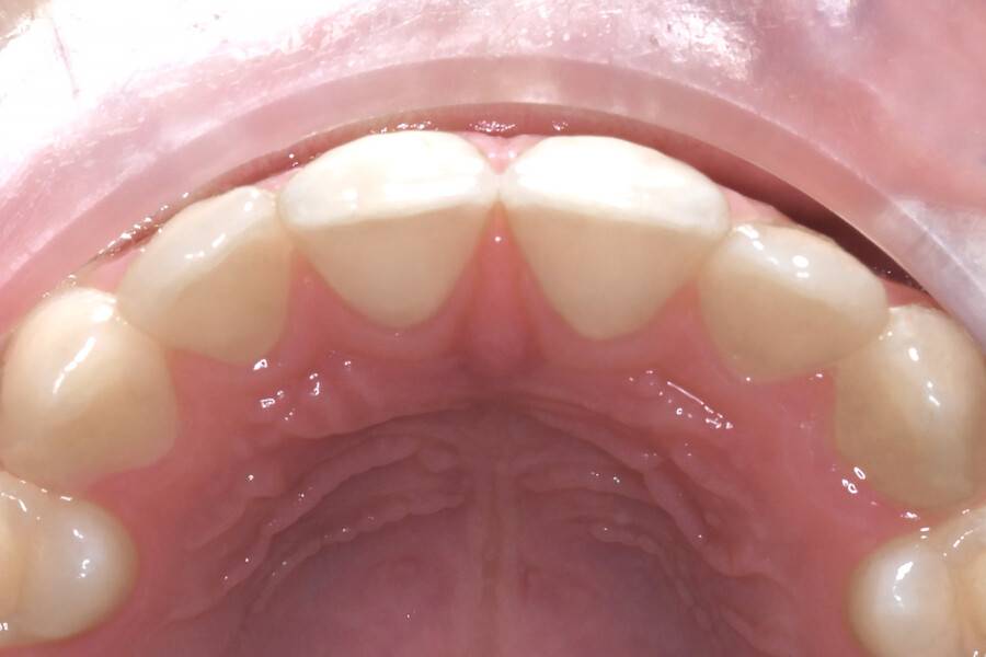
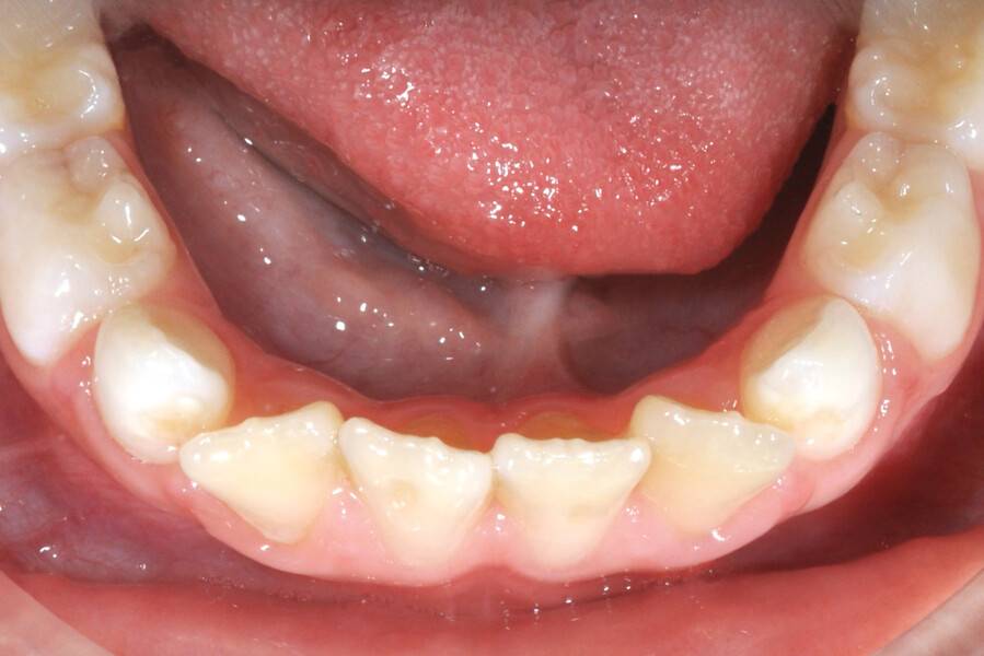
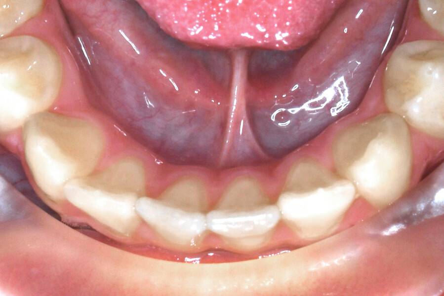
8 лет, девочка, жалобы на неправильный прикус и дефицит места зубам
Исправление прикуса
2,5 года
Выполнено лечение с помощью LM-активатора на ночь
Похожие работы
Протоколы лечения основаны на клинических рекомендациях, которые являются стандартными инструкциями, разработанными научными исследованиями и практикой специалистов.











