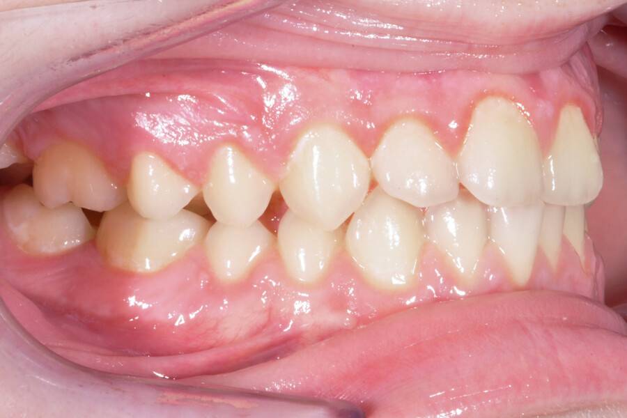
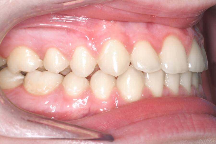
15 лет жалобы на эстетику, тесное положение зубов
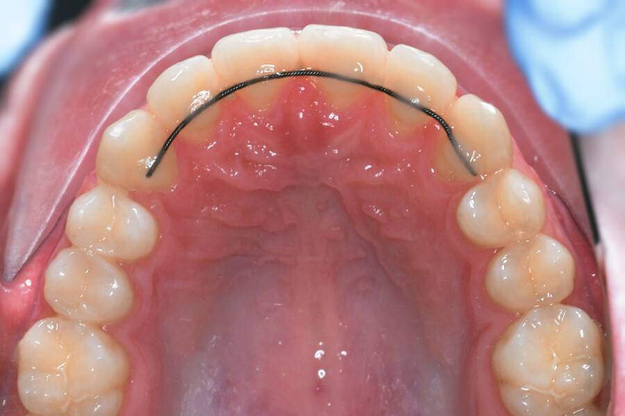
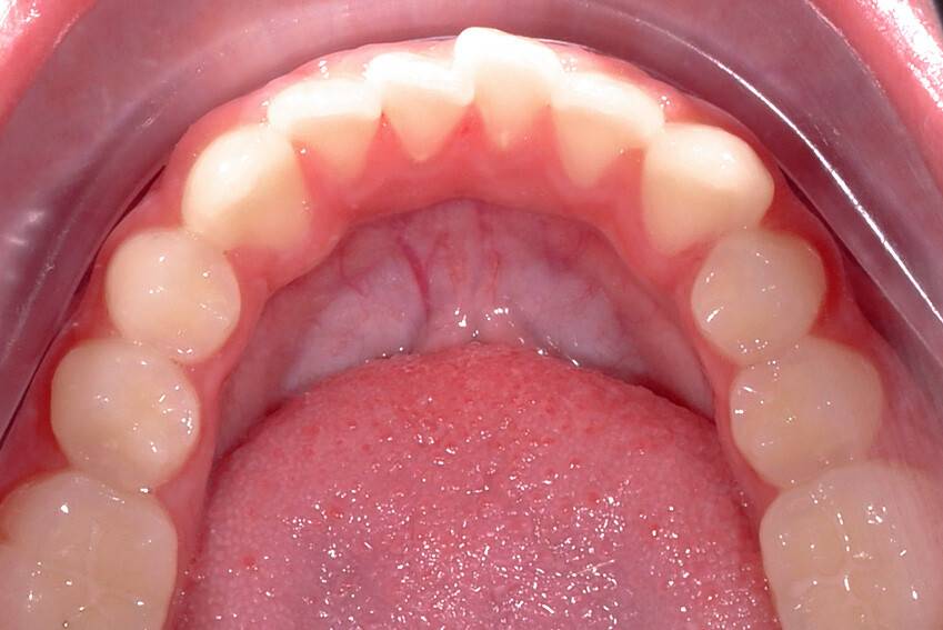
Исправление прикуса
1 год ,3 месяца
Проведено лечение на брекет-системе
Похожие работы
Протоколы лечения основаны на клинических рекомендациях, которые являются стандартными инструкциями, разработанными научными исследованиями и практикой специалистов.















