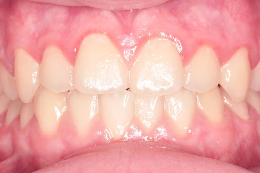
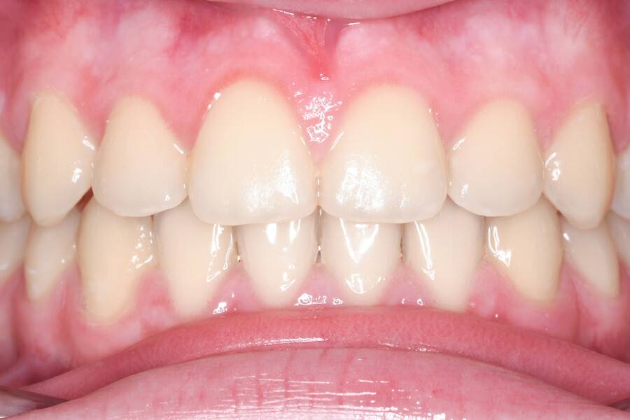
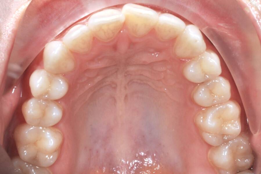
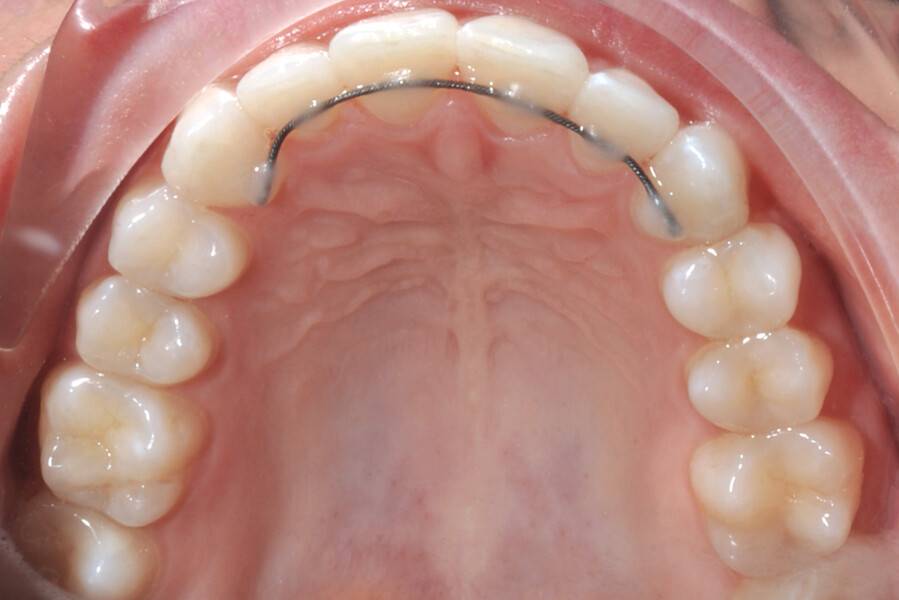
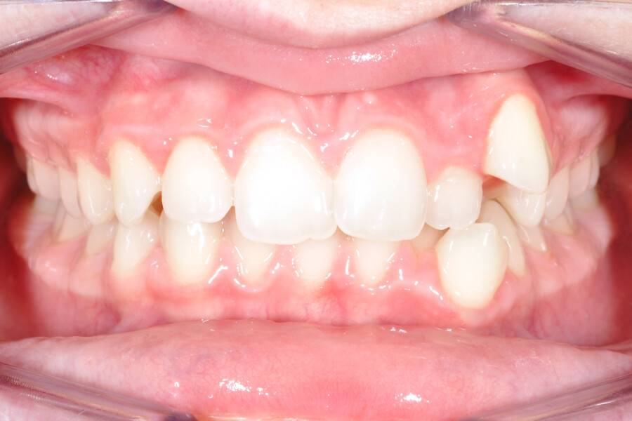
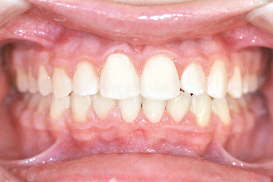
Женщина, 27 лет, неправильный прикус , скученность зубов, большие промежутки между зубами
Исправление прикуса
13 месяцев
Исправление прикуса с помощью установки брекет-системы Clarity на верхний и нижний зубные ряды
Похожие работы
Протоколы лечения основаны на клинических рекомендациях, которые являются стандартными инструкциями, разработанными научными исследованиями и практикой специалистов.









