Я являюсь постоянным неизменным клиентом Вашей клиники на протяжении более 15 лет. Каждый раз не устаю восхищаться высочайщим профессионализмом каждого специалиста. Начиная от девочек на ресепшен, заканчивая многопрофильными специалистами хирургами-имплантологами, ортопедами, протезистами, терапевтами. Мне нравится все в Вашей клинике, начиная с порога. Особенно хотела бы отметить Пантелееву Ольгу Петровну, исправившую улыбку моей дочери, Алешина Елену Владимировну, легко и бережно лечившую зубы мне и моему супругу, а также Соляную Ольгу Сергеевну, сотворившую волшебство с моей улыбкой. Я очень рада тому, что переехала в этот город, где есть такая замечательная стоматологическая клиника!
К сожалению, не помню имен врачей-хирургов из-за того, что получала их помощь разово, но в стрессовых условиях. Я вспоминаю, как они все сделали, и благодарю их! Спасибо всем-всем высоким специалистам!!
Стаж работы 19 лет
В «Веронике» с 2016 года
29.01.2013Основное образование
Санкт-Петербургский государственный медицинский университет имени академика И.П.Павлова
Санкт-Петербургский государственный медицинский университет имени академика И.П.Павлова31.12.2013Основное образование
Санкт-Петербургский государственный медицинский университет имени академика И.П.Павлова, Интернатура специальность «стоматология общей практики»
Санкт-Петербургский государственный медицинский университет имени академика И.П.Павлова, …30.08.2016Основное образование
Санкт-Петербургский государственный медицинский университет имени академика И.П.Павлова, Клиническая ординатура по специальности «ортодонтия»
Санкт-Петербургский государственный медицинский университет имени академика И.П.Павлова, …24.06.2020Основное образование
Аккредитация специалиста
Аккредитация специалиста20.11.2014Дополнительное образование
ТехноДент, «Использование скелетного роста в период сменного прикуса. Применение функциональных аппаратов (Твин Блок). Особенности ортодонтического лечения в период постоянного прикуса»
ТехноДент, «Использование скелетного роста в период сменного прикуса. Применение функцион…06.09.2013Дополнительное образование
Авеес, «Введение в ортодонтию. Основы и принципы ортодонтической диагностики. Биологические принципы ортодонтического вмешательства»
Авеес, «Введение в ортодонтию. Основы и принципы ортодонтической диагностики. Биологическ…03.06.2015Дополнительное образование
Myofunctional Research, «Влияние многофункциональных нарушений на развитие зубочелюстно-лицевой системы. Вопросы этиологии аномалий прикуса и коррекция их причин»
Myofunctional Research, «Влияние многофункциональных нарушений на развитие зубочелюстно-л…12.09.2015Дополнительное образование
Silvano Naretto, «Функциональная ортодонтия»
Silvano Naretto, «Функциональная ортодонтия»24.06.2017Дополнительное образование
Ormco, «Ортодонтическое лечение детей»
Ormco, «Ортодонтическое лечение детей»09.04.2017Дополнительное образование
Постдипломное Образование в реальном времени, «Дистальный прикус»
Постдипломное Образование в реальном времени, «Дистальный прикус»09.05.2019Дополнительное образование
УКЦ «СПИК-Вероника», «Дентальная фотография», лектор: Илья Морозов врач-стоматолог ортопед, эндодонтист, Сертифицированный фотограф компании Nikon, Руководитель компании «Dentalphotooffice»
УКЦ «СПИК-Вероника», «Дентальная фотография», лектор: Илья Морозов врач-стоматолог ортоп…20.05.2019Дополнительное образование
«Междисциплинарный концепт цифрового планирования и лечения пациентов с патологией прикуса с применением капп элайнеры. От ортодонтической подготовки до реставрации в эстетической зоне». Мария Заитова
«Междисциплинарный концепт цифрового планирования и лечения пациентов с патологией прикус…26.02.2020Дополнительное образование
Ormco, «Биомеханика в ортодонтии. Основные концепции и законы. Практическое применение знаний биомеханики при работе с техникой прямой дуги. Практическая часть, нанесение изгибов на дуги»
Ormco, «Биомеханика в ортодонтии. Основные концепции и законы. Практическое применение зн…15.02.2020Дополнительное образование
Ортодонтический конгресс (HI OHI-S)
Ортодонтический конгресс (HI OHI-S)Услуги специалиста
Специалист предоставляет широкий спектр услуг, вы можете выбрать подходящую услугу и записаться к нему на прием.
Работы специалиста
Индивидуальный подход и внимание к каждому пациенту, понимание его потребностей и особенностей.
Все работыLM-активаторИсправление прикуса у детей
До

LM-активаторИсправление прикуса у детей
После

ЭлайнерыИсправление прикуса
До

ЭлайнерыИсправление прикуса
После

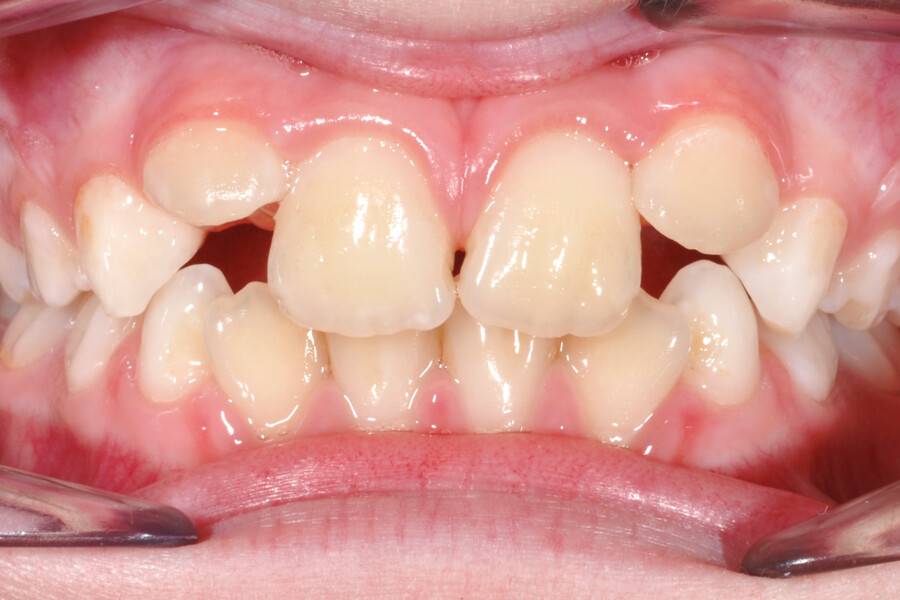
Исправление прикуса у детейИсправление прикуса
До

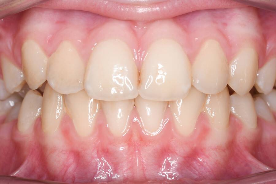
Исправление прикуса у детейИсправление прикуса
После

Отзывы
Истории пациентов
